第190回「今年は本当に大きな変化が起こります!」
- Nawatani Niina
- 2019年1月1日
- 読了時間: 10分
更新日:4月8日
明けましておめでとうございます。柴田美容皮膚科クリニックの柴田です。旧年中は皆様には大変お世話になり、誠にありがとうございました。本年もどうぞ宜しくお願い致します。…と言ってもこのクリニック通信を書いているのは12月の慌しい時期なんですよね。ついこないだ「2018年は何を目指しますか?」ってこのクリニック通信に書いたばかりのような気がするんですけど、時が経つのは本当に早いですねぇ。1年なんてあっという間に経ってしまい、また一つ年を取ってしまいました。そうこう言ってる間に本当にすごい歳になってしまって、同窓会なんかに行くと社長や副社長、医者仲間では院長や副院長のオンパレードです。同窓会での話題も病気や健康についての話題が多くなってきて、みんな何かしらの病気を経験してるんですよね。斯くいう私も、11月に足が痛くなって歩けなくなってしまいました。まずは左膝がロッキング。ロッキングというのは整形外科用語で、主に膝の「半月板」というクッションの様な役目をしている軟骨に傷がついた時に、膝を捻った時などにそこが引っかかって痛みが生じ、伸ばせなくなる症状の事を指します。以前から左膝を捻った時に時々軽い引っかかりはあったんですが、今回は朝起きて膝を捻った際に完全にロッキングし、痛くて膝を伸ばす事も曲げる事もできず、30分ほど全く動けなくなってしまったんです。本当に動けなくてどうしようかと思いましたが、整形外科時代の事を思い出して、ロッキングを解除する方向に足を手で引っ張ったりゆっくり捻じったりしてると引っかかりが外れたようで、なんとか痛みも治まりました。しかしそれからしばらくは、膝を深く曲げようとすると引っ掛かりそうになり、用心する羽目に。

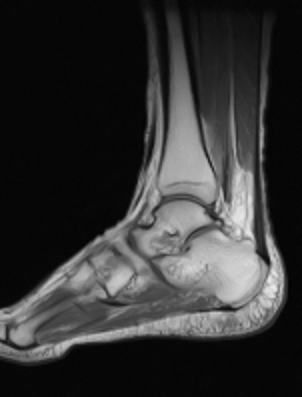
整形外科時代の先輩にその話をすると「そら完全に半月板切れてるな! 手術しかないで!」と言われてしまいましたが、いざ自分がされる側になるとやっぱり手術はいやなので様子を見ていると、徐々にましになってきてほっとしたのも束の間…その次は左の足の裏が痛くなり、朝起きると30分ほど痛くて歩きづらい事が2回ほどあっておかしいなと思っていると、今度は足首の内側が腫れてきました。少し赤くて押さえるとちょっと痛かったので、最初は何か炎症かな?と思って湿布したりしてたんですが、治まるどころか膨らんできたので、心配になってきました。腫瘍でしかも悪性やったらやばいやん! 下腿切断の危機か?? さすがに悪性腫瘍だとまずいので、整形外科時代の5年後輩で腫瘍を専門にしているM君に久しぶりに連絡してみると、5日後にMRIの予約を取ってくれました。M君は知らないうちに大阪の結構大きなM病院の副院長になっててびっくり。普通はその規模の病院だとMRIの予約なんて1か月は先になってしまうので、やっぱり持つべきものは後輩ですね。その後思いついて検査の日までプラセンタ点滴を続けてみると、膨らみが少し小さくなってきたので腫瘍ではないのかなとは思ったんですが、念のために検査は受ける事にしました。悪友Mなんかには「足切断したら最新技術駆使してスケートボード付き義足でも付けたら? 歩くのが早くなって返って便利かもよ」なんて笑い飛ばされたけど。

そして検査の日。大阪のちょっと外れにあるM病院は私も25年ほど前に勤務した事のある病院だったので、久しぶりに乗る電車も駅からの道も超懐かしく、私が勤務していた頃とあまり変わっていませんした。お菓子でも買って持って行こうと思ってタクシーの運転手さんに聞いたら、めちゃレトロな和菓子屋さんに連れて行かれ、昔感満載。病院に着くと受付や検査はM君が前もって伝えてくれていたのでめちゃスムーズに進み、MRIを撮ってから懐かしい整形外科の外来に案内されました。M君の手術が終わるまで少し時間があったので、外来の看護師さんと以前M病院の整形外科部長だったT先生がすごく怖かったという話などで盛り上がりました。T先生は「鬼部長」の異名で有名な先生で、私も研修医時代はよくしごかれたものですが、今となってはT先生のお蔭で何事も乗り越えられる根性がついたと感謝しています。

しばらくして「ご無沙汰してます!」とM君が。私が開業してから会ってなかったので、なんと16年ぶりの再会です。診察してもらってMRIも診てもらったところ、「MRIは足関節内果から足底にかけて白っぽく炎症のような所見はありますけど、腫瘍はありませんね」良かった~!! 「まぁ悪性やったらそこまで急激な増大は少ないんで、炎症やと思いますけど…。何か動き過ぎました?」う~ん、心当たりと言えばクリニックに溜まった書類を片付けたくらいなんだけど…。それくらいでこんな炎症を起こすなんて、やっぱり年かなぁ。まぁ腫瘍はないという事でほっとして、M君とひとしきり懐かしい整形外科話。私が開業した時に教授になったK先生がついに退官し、またもや白い巨塔のような教授選が近々繰り広げられるらしい。M君は16年前よりちょっぴり老けてたけど、それほどではなかったので「M君も変わらんね」と言うと、「先生こそ全然変わりませんやん。美容に転向して正解やったんちゃいます?」そう言われたのは嬉しかったな…(^_^)。 そんなこんなで色々あって、自分自身の人生を真剣に振り返るきっかけとなりました。そしてこれは3度目の人生の転機だと確信するに至ります。(突然思ったのではなく、ずっと考えていて決断の時だと確信した…という事なんですけど。)

私が16年前に開業した時は、クリニックは神戸の北野・異人館通りにあり、その名も「異人館通クリニック」で、その頃は美容を中心とした生活医療クリニックというものを目指していました。開業するまでは整形外科医として手術に明け暮れる毎日だったのですが、外来診察と言えば大きな病院では2時間待ちの3分診療というのが当たり前で、重症でなければ後回しになりますし、正直言って病院は「できれば近寄りたくないところだが、どうしようもなくなったら行くところ」という感じでした。ましてや生活を豊かにするとか、クオリティオブライフを良くする為に医療技術を使うというような発想は全くなく(少なくとも私のいた整形外科には…)、予防医学という概念も浸透しておらず「日常生活には医療技術は使わず、どうしようもなく悪くなってから病院に行くため治りも悪い」という事が多かったのです。それに対する疑問から、欧米のホームドクターのように日常生活で必要な医療の事を何でも相談でき、より良い生活をする為に医療技術を使うという新しいスタイルの医療に挑戦しようと思って「生活医療クリニック」をオープンしました。当時は美容クリニックも胡散臭い美容外科しかなく、「手術まではしたくないけど、ちょっと綺麗になって少し若返りたい…」という人のためのクリニックはほとんどなかったのも一因です。

しかし、それから数年経過してくると、美容の世界の奥深さに触れる一方で、既存にあった美容医療のいい加減さ??にも気づき、本格的に美容医療に取り組むべきだという考えが沸々と湧いてきたのです。ただ生活医療という事を目指していた事もあって、手術を伴う大掛かりな美容形成ではなく注射や内服を中心とし、日常生活をより豊かにする為の美容医療を行うとした上で、「シミ・シワ・クマ・たるみに対して最も安全で確実に効果の出る治療を研究し提供する研究所兼クリニックを目指す」というコンセプトに変え、現在のクリニックへ移転してきました。クリニックの名前も私自身の責任を明確にする為に自分の名前をつけて「柴田美容皮膚科クリニック」としました。(本来は美容皮膚科という名前にするつもりはなく、「柴田シミ・シワ専門クリニック」にする予定だったのですが、保健所に届け出る際に「前例がない」と反対され、つけていい標榜科の名前が決まっていてその中から選ばねばならないと言われてあまりにも時間がかかったので、一番コンセプトと近いものという事で、美容皮膚科とした訳です。(このクリニック名変更を含む移転時の様々なトラブルについては、クリニック通信第63回をご覧ください。私も久々に読み返してみて懐かしかったです…。)

当院はサブタイトルに「ラボ&クリニック」と書いているくらい、美容皮膚科として治療と研究の両立を目指しています。というのも10年前位の美容業界は結構いい加減なクリニックが多かったので(今はそれでもまともになった方だと思います。時代の要請で、いい加減なところは淘汰されてきた感じですね。大手ではまだまだ残ってはいますが…)、きちんと研究と実証を行い、すべての施術は自分自身に行い、安全性を確認した上で患者様に施術するという真面目な(…まぁ当たり前と言えばそれまでですが、当時はすごく少なかった…)クリニックを目指しました。そして治療と並行して研究開発も行い、常に新しくより良い治療を提供できる事を目指してきました。その考え方は今でも間違ってなかったと思っています。ただ、自分自身もこの歳になって多くの同年代の患者様に接してきた結果、「皮膚科という外科的発想を超えて体の内面や心の面からも変えて行かねば、一定の年齢を超えると本当の美しさを実現できないな…」と実感してきたのです。

皮膚科の研究と言うと、ある薬剤を塗布して皮膚がどう変化するかとか、どのような注射をすれば皮下にどのような変化が現れるなど、皮膚をある種「物」と捉えてしまう傾向があります。しかし本来は皮膚は人間の体の一部ですので、性別・年齢・栄養状態などによっても勿論違いますし、アレルギーなど体質が与える影響も多く、何よりも日常のストレスや精神状態が非常に重要な要素となります。つまるところ、ある人が若々しく美しく見えるためには皮膚の状態はその一部であって、「若々しく元気な状態」を保っているかどうかの方が重要だなぁ…と思うようになってきました。若い人の美容であれば皮膚の状態が良いだけで美しく見えるのですが、一定の年齢を経過するとそれだけじゃないし、それ以外の要素の方が多い時もあるくらいです。そんな思いから美容皮膚科という枠を超えて、美容をベースにしたアンチエイジングクリニックにコンセプトを転換しようと思ったのです。人生100年時代なんて言われ始めましたが、あながち嘘ではありません。少なくとも私達は今想像しているよりもずっと長生きしそうです。そんな時代の変化の中にあって、ある程度年齢を重ねた方々が内面も外面も美しくなって、元気で人生を満喫できるようにする為に医療技術を活用したいと思うのです。勿論それは患者様の願いを叶えたいと同時に、私自身の願いでもあります。やっぱり自分自身が一番やりたい事だったら当然力が入るし、研究もするし一生懸命になりますよね (^_^)。

そんな訳で2019年のお正月に大宣言! 当院は「アンチエイジングクリニック」として生まれ変わるため、3月に移転する事をお知らせいたします! 今のクリニックは4つの個室があり、予約が混雑するとバタバタしてお待たせする事も多かったのですが、移転後は「院長の自宅に招かれたような隠れ家的なプライベート・クリニックで、ゆったりとアンチエイジング治療を」というコンセプトに変更し、お一人にゆっくり時間を取ろうと考えています。なので予約は取りにくくなるかもしれませんが、その分一人一人にマッチしたアンチエイジング治療を行えると思います。場所は三宮駅から徒歩圏内で雨の日も極力濡れずにお越しいただけるところを考えております。「10年後も、綺麗で健康に」を目標に、内面も外見もアンチエイジングを行える治療に取り組むつもりです。10年前に今のクリニックに移転した時はバタバタしていて、物件探しも内装工事も当時コンサルをしてくれていた友人任せで、内装屋さんとの打ち合わせもほとんどすることなく、内装屋さんに文句を言われるくらいでしたが、今回はインテリアコーディネートの専門家に相談してじっくり内装も検討し、居心地の良いプライベート・クリニックを作る予定です。今年は色々な意味で大きな変化を起こす年になりそうです。皆様にとっても良いお年でありますように! 新クリニックに乞うご期待!

